벅 치아 라미네이트를 위한 효과적인 솔루션
![]()
벅치아 라미네이트에 효과적인 솔루션 벅치아 라미네이트에 효과적인 솔루션 벅치아 라미네이트에 효과적인 솔루션 오늘은 벅치아 라미네이트에 효과적인 솔루션에 대해 알아보겠습니다. 1. 충치교정의 필요성
![]()
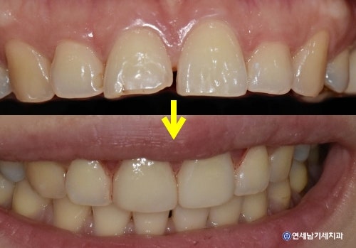
벅치(Buck Teeth)는 치아가 고르지 않게 배열되어 바깥쪽으로 튀어나온 상태입니다. 이는 미적인 문제일 뿐만 아니라 구강 건강에도 영향을 미칠 수 있습니다. 벅니는 교합(치아 맞물림)에 영향을 주어 음식을 제대로 씹는 것을 어렵게 만들거나 턱 관절에 부담을 줄 수 있습니다. 또한, 튀어나온 치아는 입술을 다치게 하거나 입안에 염증을 일으킬 가능성이 높습니다. 많은 사람들이 이러한 문제를 해결하기 위해 라미네이트를 고려하고 있습니다. 2. 라미네이트의 원리와 공정
라미네이트란 얇은 세라믹이나 도자기로 만든 치아 커버를 치아 표면에 부착하여 이상적인 모양과 색상을 만들어주는 시술입니다. 라미네이트를 적용하기 위해서는 치아의 표면을 살짝 갈아낸 후, 맞춤형으로 제작된 얇은 치아판을 접착제로 부착합니다. 이 과정은 상대적으로 빠르며 일반적으로 2~3회의 치과 방문으로 완료됩니다. 라미네이트로 턱니를 교정하면 자연스럽게 치아 배열이 개선되어 미소가 더욱 매력적으로 변합니다. 3. 라미네이트가 벅치에 적합한 이유
라미네이트는 치아를 크게 깎지 않고도 치아의 모양을 개선할 수 있는 방법이며, 턱니가 있는 사람들에게 좋은 선택일 수 있습니다. 특히 치아가 약간 돌출되어 있거나 약간 비뚤어진 경우에는 라미네이트만으로도 큰 변화를 가져올 수 있습니다. 기존 치아교정 장치는 수개월에서 수년이 걸리는 반면 라미네이트는 몇 주 안에 변화를 느낄 수 있어 시간이 많지 않은 성인에게도 적합하다. 4. 벅치형 라미네이트의 한계 및 고려사항
그러나 라미네이트로 모든 벅치아를 해결할 수 있는 것은 아닙니다. 치아가 과도하게 돌출된 경우나 교합에 심각한 문제가 있는 경우(치아가 서로 맞물리는 현상)에는 교정치료가 필요할 수 있습니다. 또한 라미네이트는 치아 표면을 어느 정도 갈아야 하고 나중에 손상되면 교체해야 하기 때문에 영구적인 시술입니다. 따라서 충치의 정도와 구강상태를 정확하게 진단하고, 전문의와 충분한 상담 후 시술 여부를 결정하셔야 합니다. 5. 라미네이션 후 관리의 중요성
라미네이트 시술 후에는 지속적인 관리가 필수입니다. 부착된 라미네이트는 자연치아만큼 강하지 않기 때문에 딱딱한 음식을 먹거나 무리한 힘을 가하는 것은 피해야 합니다. 또한 정기적인 스케일링과 검진을 통해 라미네이트와 잇몸의 상태를 확인해야 합니다. 라미네이트의 수명을 연장하려면 올바른 칫솔질과 치실 사용도 중요합니다. 적절한 관리와 습관을 통해 벅치아 라미네이트는 장기간에 걸쳐 만족스러운 결과를 제공할 수 있습니다. 라미네이트는 치아 개선에 효과적인 솔루션이 될 수 있지만, 개개인의 치아 상태를 철저히 분석하고 장단점을 고려한 후 시술을 결정해야 합니다. 전문가의 조언과 적절한 사후관리를 통해 건강하고 아름다운 치아를 유지할 수 있습니다.
이전 이미지다음 이미지
이전 이미지다음 이미지